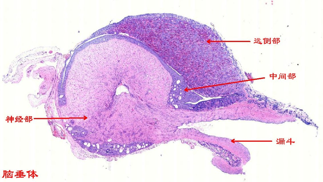
导航痕迹 日韩色情 馆藏标本 组织学与胚胎学标本 馆藏标本 人体解剖学标本 组织学与胚胎学标本 病理学标本 人体手绘 微生物学标本 组织学与胚胎学标本 包括人体组织学和胚胎学的标本,根据人体的不同器官组织进行分类展示人体的内部结构,胚胎不同时期的发生发育的过程。 组织来源:猫;组织名称:脑垂体;染色方式:HE染色。本图片为低倍镜下猫脑垂体HE染色整体光镜图,脑垂体整体结构完整,无皱褶与裂痕,各层组织成分染色鲜艳、清晰。 组织来源:猫;组织名称:脑垂体;染色方式:高碘酸-无色品红-橙黄G染色。本图片为高倍镜下猫脑垂体高碘酸-无色品红-橙黄G染色光镜图,其中,嗜酸性细胞胞质内颗粒呈橙黄色,嗜碱性细胞胞质内颗粒呈红紫色,嫌色细胞胞质呈浅灰蓝色或无色,胞核呈蓝褐色,红细胞呈鲜橙黄色。 组织来源:兔;组织名称:心脏窦房结;染色方式:mallory三色染色法。本图为家兔心脏窦房结mallory三色染色光镜图,显示胶原纤维、神经纤维呈亮绿色,心肌纤维呈红色,细胞核呈蓝黑色,且能清晰显示窦房结起搏细胞和移行细胞。 组织来源:狗;组织名称:气官;染色方式:HE染色。本图片为低倍镜下狗气管HE染色整体光镜图,气管整体结构完整,无皱褶与裂痕,各层组织成分染色鲜艳、清晰。 组织来源:狗;组织名称:气官;染色方式:HE染色。本图片为高倍镜下狗气管HE染色黏膜与黏膜下层部分光镜图,黏膜层细胞结构典型、可见纤毛细胞、杯状细胞及其它各种细胞,粘模下层胶原纤维等染成红色,周边有成纤维细胞等。 组织来源:小鼠;组织名称:胰腺;染色方式:改良醛品红- 丽春红法染色法。本图片为高倍镜下小鼠胰腺组织胰岛细胞改良醛品红- 丽春红法染色光镜图,其中,A细胞呈朱红色;B细胞呈紫蓝色;D细胞、胶原纤维呈淡绿色。无共染且颜色鲜明,层次清楚,结构清晰,易于观察。